Shop 1-3/82 Buckland Rd, Nundah, QLD 4012

With over 15+ Years of expertise, we deliver quality dental care to the community.



At Nundah Central Dental, our focus is on combining skilled professionalism with a nurturing and inclusive environment. Our 15+ years of experience pave the way for a healthcare experience that aims to better lives. We are committed to offering high-quality care to all of our lovely patients.

We believe in offering excellent dental treatments without the hefty price tag. We offer payment plan options, to help make your treatments affordable and accessible. We have also partnered with AccessMySuper, to assist with early access to your superannuation.

Afraid of the dentist? We got you covered! We offer Happy Gas (Nitrous Oxide) for our anxious patients, to allow them to get the treatment they need, when they need it the most, without stress or discomfort. In every step of your treatment, our priority is you!

We understand that dental emergencies are stressful and can affect your quality of life. We are proud to offer same-day emergency appointments, to promptly help relieve you of pain and discomfort, and quickly get you back on track!



Delivered with Excellence in Nundah

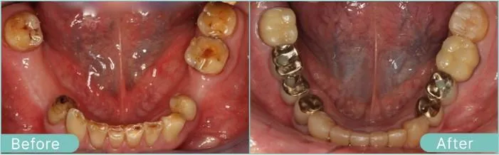
Enhance your smile and dental function with our durable, aesthetically pleasing crowns and bridges. These restorations not only fill gaps caused by missing teeth, enhancing your smile but also improving your chewing ability and speech clarity. Experience the multifaceted benefits of our custom dental prosthetics.

Our teeth whitening treatments are designed to brighten your smile in a safe and effective manner. Using advanced technology and high-quality products, we provide personalised solutions that offer long-lasting, radiant results. Trust us for a smile that truly shines.

Our 15+ years of experience in delivering complex dental treatments translate to excellent care for you. Our team ensures a secure, comfortable process, even for our anxious patients.

We offer discreet and comprehensive orthodontic treatments using clear aligners tailored to correct malocclusions. These treatments do more than just straighten your smile - they make dental hygiene maintenance easier and more efficient, promoting better oral health.

◉ Scale and Clean
◉ Fluoride application
◉ 3D Intra-oral Scan
◉ Personalised Treatment Plan
◉ Free New Patient Hygiene Gift-
◉ 2 bitewing X-rays (if required)
◉ OPG X-rays (if required)

◉ Complimentary Dental Implants Consultation
◉ Personalised treatment plan
◉ Treatment time can be as short as 3 months

◉ Complimentary Smile Consultation
◉ Personalised treatment plan
◉ Treatment time can be as short as 6 months

◉ Philips Zoom
◉ Completed by a professional dentist
◉ Have your perfect white teeth ready for the new year!
◉ Free Take-Home Whitening Kit to the value of $249 (While stocks last)

◉ Complimentary Smile Consultation
◉ Personalised treatment plan

◉ Children aged 0-17 can receive dental coverage for up to $1095 every 2 years! (We can check for your child's eligibility)
◉ Over 15+ Years of Dental Experience
◉ Happy gas for anxious patients
◉ A modern, state-of-the art practice


We warmly welcome you!
You’ll feel the difference once you step into our clinic. Our friendly team will warmly welcome you to the first step towards your new smile. At Nundah Central Dental, the priority is always you. We take the time needed to listen to you, examine you, and treat you.

History and Examination
We will start with a detailed discussion about your health history, including current or past health issues, medications, conditions and treatments. This will help our dentist formulate a better understanding of your unique needs. Remember, we are absolutely non-judgmental!

Diagnosis and Treatment
Our treatment plans are unique, like you. We don’t compromise, because we want the best result for you. We are particularly considerate of our anxious patients' needs and make every effort to support them through their treatment. We’ll work with you to fit your treatment into your budget.

Dr Andy Chung
BDSCI
Dr. Andy Chung, a dedicated dentist with over 16 years of clinical experience, earned his Bachelor of Dental Science degree from the University of Queensland. Fluent in both English and Mandarin, he has served diverse communities in Toowoomba, Mount Isa, and Bracken Ridge.
Known for his caring, friendly, and highly skilled approach to dentistry, Dr. Andy is passionate about delivering excellent dental care in a welcoming environment. His philosophy revolves around building strong relationships with patients, focusing on an atmosphere where open communication leads to personalised care, resulting in successful treatment outcomes. Particularly rewarding for him is helping patients overcome dental phobias and anxieties by employing a compassionate approach towards patients and treatment.
Dr. Andy's primary focus lies in preventative and cosmetic dentistry. His unique skill set includes extensive experience in complex surgical extractions of wisdom teeth, denture making, and a special interest in facial injectables. He offers treatments for jaw muscle issues related to grinding and clenching, as well as anti-wrinkle injections, making him a standout practitioner in the field.
Beyond his clinical practice, Dr. Andy is committed to community service. He has participated in the Tzu-Chi Foundation, providing volunteer dental care to patients in Brisbane and rural communities. His dedication to serving others extends beyond the dental chair, showcasing his holistic approach to making a positive impact.
A fulfilling day for Dr. Andy is when all his patients leave the clinic pleased with their treatment and eagerly refer friends and family. His satisfaction comes from knowing he has positively impacted their lives. His passion for dentistry is motivated by the enjoyment of meeting diverse people in the local community and helping them achieve the healthy and beautiful smiles they deserve. Dr. Andy treats his patients with the same honesty and care that he would provide to his own family.
Outside of his professional life, Dr. Andy is a family man, happily married with a son. His personal interests include travelling and experiencing different cultures and cuisines. This love for exploration and adventure enriches his perspective, enabling him to connect with patients from diverse backgrounds on a more personal level.





A+ Dental Service. Friendly staff. Highly recommended.

I had a fantastic experience at Nundah Central Dental. Dr Andy Chung was highly professional, gentle and considerate during the entire treatment. He made sure I felt at ease and kept me informed throughout the process. The clinic’s state of the art equipment and modern facilities further enhanced the overall experience. I wholeheartedly recommend Nundah Central Dental for their exceptional dental services and personalized care.

Just went here for the first time. I was a little bit sceptical before going, because I couldn’t find much reviews online. It is a modern and clean looking dental. Nice and calm employees, who give you a welcome and safe feeling from the first moment. The dentist is a nice guy who explains what he is gonna do and why. I would recommend this clinic!

Nice and friendly great customer service very upfront

The best and most considerate, kind dentist I have ever experienced. I highly recommend this clinic, to everyone. I don't think I'll ever go anywhere else now.

Had a great time! Very lovely staff and super chill environment
At Nundah Dental Central, trust, expertise, and compassion are at the heart of our practice. We’re more than just a dental clinic; we’re a place where anxious patients find relief and comfort, especially with our signature happy gas (nitrous oxide) option for stress-free treatments.
Our offerings include Emergency Dental Services, Cosmetic Dentistry, Routine Oral Health Maintenance and Advanced Dental Procedures.
Understanding the demands of your busy life, we are available for extended hours on Thursdays until 7pm and Saturdays until 2pm, along with same-day emergency slots to accommodate your schedule promptly and efficiently.
With the added convenience of on-site parking, your visit to Nundah Dental Central is seamless from start to finish. Our goal is for every patient to leave with a bright smile and the comfort of knowing they're in capable and caring hands.
Discover the difference at Nundah Dental Central, where every smile we craft is a reflection of our unwavering dedication to your care.

Investing in Your Smile
At Nundah Central Dental, we're not just about immediate care; we're about facilitating a long-term investment in your dental health. That's why we offer an array of flexible payment plans to suit your financial situation. Additionally, we partner with AccessMySuper, a company that supports you in the application process for the early release of your superannuation, to cover the cost of dental procedures. This means you can achieve the smile you've always wanted now, without the immediate financial pressure. Our focus is on making your journey to dental health as smooth and manageable as possible.




Shop 1-3/82 Buckland Rd, Nundah, QLD 4012
| Monday | 8:30 AM – 5:00 PM |
| Tuesday | 8:30 AM – 5:00 PM |
| Wednesday | 8:30 AM – 5:00 PM |
| Thursday | 8:30 AM – 7:00 PM |
| Friday | 8:30 AM – 5:00 PM |
| Saturday | 9:00 AM – 2:00 PM |
| Sunday | Closed |
There is no pressure and no obligation to go ahead with treatment.
If you need to cancel your appointment for any reason, please call our office ahead of time so that we can treat other people during your scheduled time.
Prices do vary depending on the complexity of your case.
We’ll share a specific quote and various payment options with you at your consultation.
Payment Plan Offers
Any payment plan offers are subject to approval by the registered payment plan provider.
Promotion Terms & Conditions:
This offer is open to both new and existing patients.
This offer cannot be combined with other promotions, transferred, or converted into cash or other services.
The promotional price is fixed regardless of whether all included services are used.
Private Health Fund Details: Patient will be responsible for any remaining amount if the health fund covers less than the promoted price. No payments from patient is required if the health fund pays more than the promoted price. Any payment by the health fund that is over the amount of the promotional price is non-transferrable and non-redeemable in cash or credit.